Intervju s dr. Miletićem iz Pupillam poliklinike
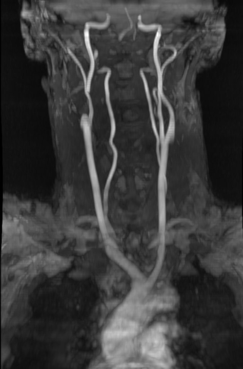
Svjetski dan zdravlja: Ateroskleroza svjetski ubojica broj jedan
            Povodom svjetskog dana zdravlja o aterosklerozi kao najvećim javnozdravstvenim problemom i vodećim uzrokom bolesti i smrti na svijetu, pričali smo s doktorom specijalistom neurologije dr.
        
        
            4 / 5
        
    Oglas  
    Imaš vijest?
Imaš informaciju iz prve ruke, fotografiju, video, dobru ideju ili te nešto muči?
PODIJELI S NAMA!Oglas    
    
            
                / IZ KATEGORIJE
            
        
        
    Oglas    
     
                
                 
                
                 
                
             
